
Beta thalassemia and sickle cell are two red blood cell disorders which both come with massive health implications and shortened lifespans, but at least for UK-based patients the former may soon be curable with a fairly new CRISPR-Cas9 gene therapy (Casgevy) via the UK’s National Health Service (NHS). Starting with the NHS in England, the therapy will be offered to the approximately 460 β thalassemia patients in that part of the UK at seven different NHS centers within the coming weeks.
We previously covered this therapy and the way that it might offer a one-time treatment to patients to definitely cure their blood disorder. In the case of β thalassemia this is done by turning off the defective adult hemoglobin (HbA) production and instead turning the fetal hemoglobin (HbF) production back on. After eradicating the bone marrow cells with the defective genes, the (externally CRISPR-Cas9 modified) stem cells are reintroduced as with a bone marrow transplant. Since this involves the patient’s own cells, no immune-system suppressing medication is necessary, and eventually the new cells should produce enough HbF to allow the patient to be considered cured.
So far in international trials over 90% of those treated in this manner were still symptom-free, raising the hope that this β thalassemia treatment is indeed a life-long cure.
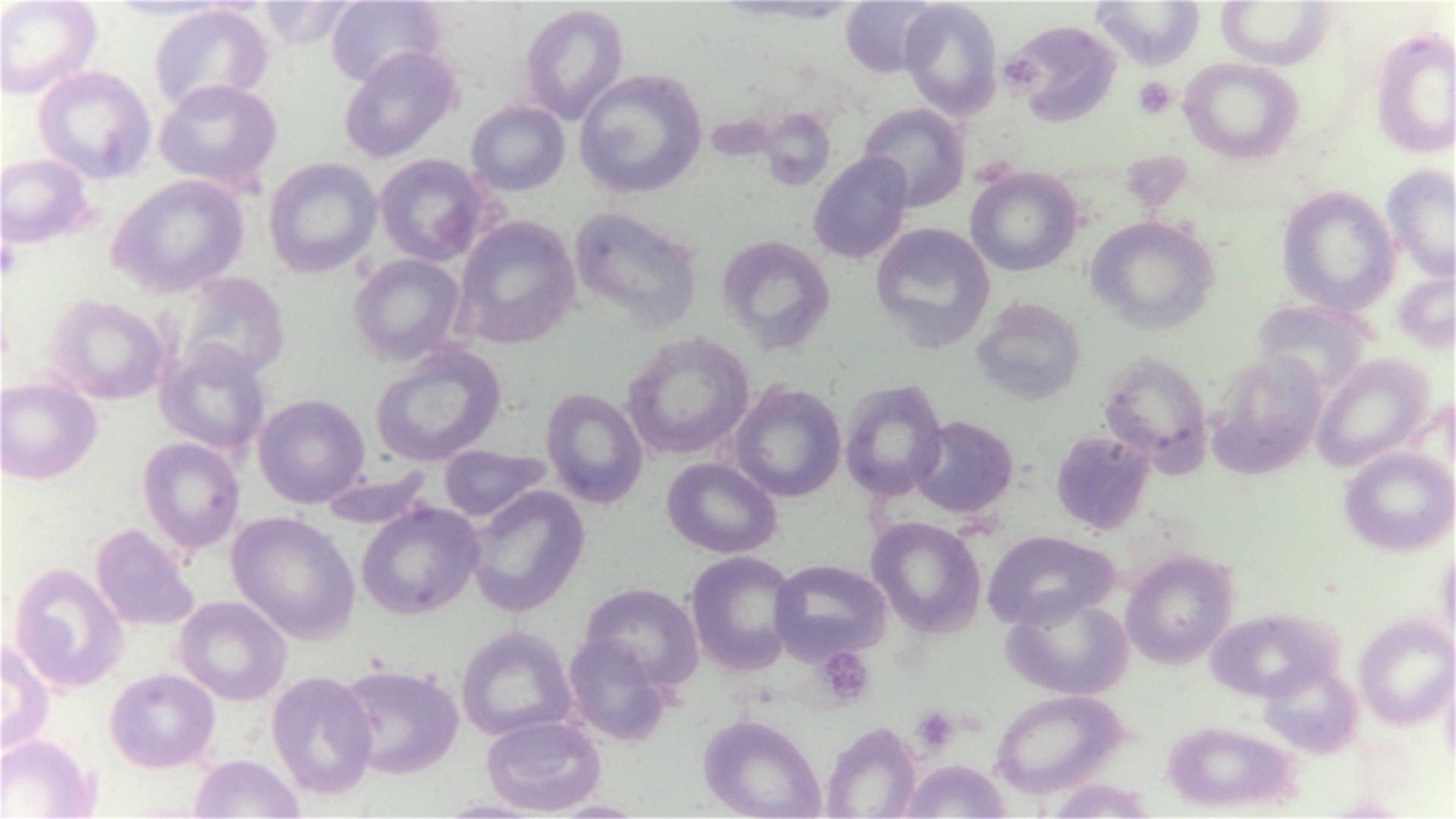
Top image: A giemsa stained blood smear from a person with beta thalassemia. Note the lack of coloring. (Credit: Dr Graham Beards, Wikimedia Commons)